 
        
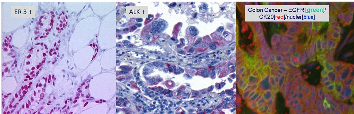
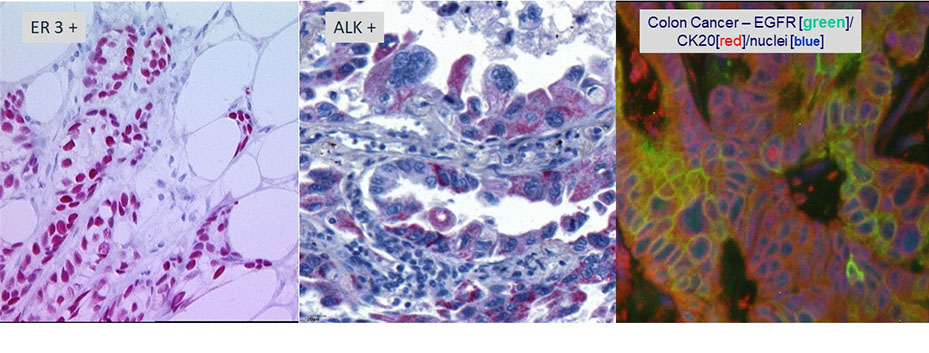
The conventional diagnoses are often supplemented by specific immunohistochemical and molecular biological methods. In many cases, only the combination of these methods enables the pathologist to define disease entities and to correlate them with functional properties. This applies, in particular, to oncology with regards to histogenesis, prognosis, and drug resistance, and also to pathology of infectious diseases with queries about pathogen detection/classification, e.g. tuberculosis, viruses, fungi etc. For these tasks, specially trained staff is available.
Particularly trained staff of Virchow Labs is doing a great number of immunohistochemical analysis using the tissue specimens of the patient's. For the staining procedures specialized instruments of Roche/Ventana and Leica are used routinely. This insures constant staining results and contributes to the high quality of the immunohistochemically based diagnosis. The list of antibodies available in daily diagnosis are shown in the attached catalog.
Information →
Pathological
Diagnostics
Information →
Immun-Pathology
Catalog
RELATED INFORMATIONS
 
      Virchow Laboratories Group Ltd.
Office 1632, 14th floor, No.2 Building
Guangshun South Road 16,
Chaoyang District, 
Beijing / China
Virchow Laboratories Group Ltd.
Office B, 15th Floor, 
Cameron Plaza,
23-25A Cameron Road, TsimShaTsui,
Kowloon, Hong Kong
© Virchow Laboratories Group 魏尔啸实验室集团有限公司
Virchow Laboratories -
Institute of Pathology 
Shanghai East Hospital Tongji University
Sino-German Joint Laboratory
Shanghai East Hospital South Campus
Yuntai Road 1800, 
Shanghai / China
OUR LOCATIONS
 
      
      
      
      
      
Lead-in
Main Tasks
Who we are
Pathological Diagnostics
Molecular Analyses
Quality Management
Pathology-Clinic Interdisciplinarity
Contact
